Tech Exchange with Proteintech
Event details
- When
- October 24, 2025 14:00–14:30 CEST
- Presented by
- Larisa Yurlova

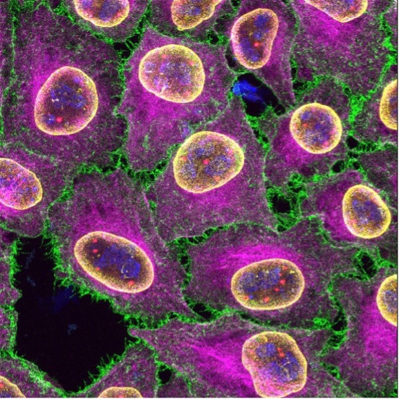
Get to know our latest Industry Board member Proteintech and learn all about antibodies and nanobodies for microscopy.
Larisa Yurlova will present on "Seeing More: Nanobodies and FlexAble Antibody Labeling Kits in Fluorescence Imaging".


Abstract
The more we want to know, the more we need to see. Every imaging technique has its limitations, but every limit can be pushed, with the right tools. VHHs (Nanobodies) are uniquely suited to achieve the highest possible resolution. Their small size minimizes epitope-label displacement, significantly improving localization precision in fluorescence microscopy. Beyond resolution, nanobodies provide excellent specificity, improved tissue penetration, and compatibility with live-cell imaging, making them powerful alternatives to conventional antibodies. In this talk, I will discuss how nanobodies expand the imaging toolbox, from multiplexing to super-resolution, and how their unique properties help us push the boundaries of resolution and image quality. Further, I will explore Proteintechs unique FlexAble Antibody Labeling technology with you.